+91 99532 63387, +91 70420 54420

Laminates and Veneers

No Prep / Prepless Veneers

Advancements in the field of dentistry have paved the way for a more conservative approach to enhancing the aesthetic appeal of a patient’s smile through the use of “Porcelain Laminates/Veneers” and “Lumineers,” commonly referred to as prepless veneers. This innovative technique offers an opportunity to significantly improve the smile’s aesthetic features while addressing minor dental imperfections. Notably, it is an ideal option for patients who desire veneers but are reluctant to undergo the removal of healthy tooth enamel. Additionally, it aids in the preservation of natural tooth enamel, preventing unnecessary loss.

What are Laminates or Veneers and Lumineers or thinners?

Laminates or veneers are meticulously crafted, custom-made ceramic coverings that are expertly bonded to the frontal surface of a tooth. These porcelain veneers are often likened to contact lenses due to their exceptionally thin nature, serving as cosmetic enhancements that are delicately affixed to teeth to enhance their aesthetic appeal.

Veneer Image 1

How are teeth prepared for porcelain veneers?

When it comes to porcelain veneers, also known as laminates or veneers, a delicate adjustment of approximately 0.5mm to 0.7mm of tooth structure is often necessary. This adjustment provides the necessary space for the porcelain veneer to seamlessly fit onto the tooth surface, ensuring a natural and non-bulky appearance.

On the other hand, Lumineers, which are exceptionally thin veneers and often referred to as no-preparation veneers, offer a more conservative approach to cosmetic enhancement. In this technique, no tooth structure is removed, significantly reducing the risk of sensitivity and making the treatment a comfortable and even enjoyable experience. By retaining the natural enamel, the bond between your existing teeth and the new veneers becomes remarkably strong, thanks to the high-quality bonding materials and techniques employed during the fitting process.

Porcelain Veneer Process

Both porcelain veneers and Lumineers work to enhance your smile by concealing gaps and enhancing the appearance of misshapen, stained, or worn-down teeth. This transformative treatment typically spans two to three weeks, leaving you with a smile you’ll proudly display, free from any previous reservations.

Tooth preparation is individualized and depends on the original positioning of your teeth. Sometimes, no preparation is needed, while other cases may require more extensive shaping to ensure the best results. The process for porcelain veneers usually involves two visits to complete.

Advantages of Porcelain Veneers

Porcelain veneers offer numerous advantages, primarily because they require minimal tooth preparation, ensuring the preservation of as much natural tooth structure as possible. The end result is not only aesthetically pleasing but often even surpasses the appearance of the teeth before treatment.

These thin shells are expertly bonded to the front surface of your teeth, enabling transformations in color, shape, size, and length to create a strikingly natural look.

Frequently Asked Questions (FAQs)

Indications for Prepless Veneers

Veneers are a versatile solution for both functional and cosmetic improvements in various dental conditions. They are particularly effective for concealing discolored teeth, addressing multiple gaps between teeth, enhancing the aesthetics of stained teeth resistant to cleaning, managing cases of tooth calcification, and restoring chipped, broken, or fractured teeth, among other applications.

Prepless Veneer Indications

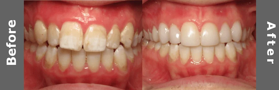
1. Stained or Discolored Teeth: Prepless veneers are an excellent choice for addressing teeth that are stained or have darkened in color.

Stained and Whitened Teeth Comparison
Stained and Whitened Teeth Comparison

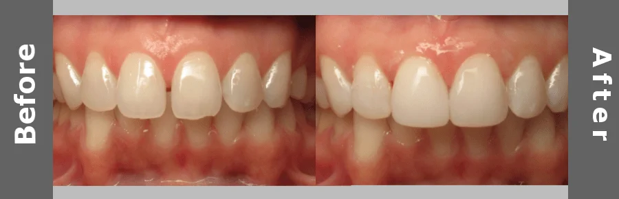
2. Hypocalcification: In cases of hypocalcification, where teeth lack sufficient mineralization, prepless veneers can help improve their appearance.

3. Multiple Diastemas or Gaps Between Teeth: Lumineers or thinners, with their minimal thickness (ranging from 0.2 to 0.5mm), are ideal for scenarios where no tooth preparation is needed, especially when dealing with multiple diastemas or gaps between teeth.

Stained and Whitened Teeth Comparison
Stained and Whitened Teeth Comparison

4. Chipped Teeth: Even teeth with slight fractures or chipped incisal edges can be effectively restored with the application of laminates.

5. Lingual Positioned Teeth: When dealing with lingually positioned teeth, prepless veneers offer a solution to enhance their appearance.

6. Malposed Teeth Not Requiring Orthodontics: For malposed teeth that don’t necessitate orthodontic treatment, prepless veneers can provide an aesthetically pleasing alternative.

7. Peg Laterals: Thin laminates can be used to reshape and restore peg-shaped lateral incisors, contributing to a more appealing smile in cases of peg laterals.

before after image

Get In Touch

Plot No. 279, GF2, Niti Khand 2, Indirapuram, Ghaziabad, Uttar Pradesh 201014

+91 99532 63387,
+91 70420 54420

Follow Us

All Rights Reserved.